Minden 39. másodpercben meghal egy gyerek tüdőgyulladásban a világon. Az elmúlt évben több mint 800 ezer csecsemő és kisgyerek halt meg a betegségben annak ellenére, hogy az gyógyítható és többnyire megelőzhető – olvasható egy kedden közzétett jelentésben.
Az UNICEF, a Save The Children nemzetközi jótékonysági egyesület és négy másik egészségügyi szervezet által készített kutatás arra szólítja fel aa kormányokat, hogy növeljék az oltóanyagok, az egészségügyi szolgáltatások és a gyógyszerek finanszírozását, hogy megelőzzék és kezeljék a betegséget.
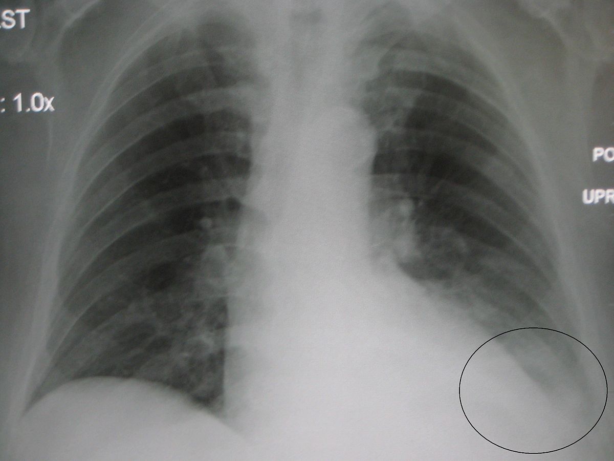
„Megdöbbentő, hogy ez a megelőzhető, kezelhető és könnyen diagnosztizálható betegség még mindig az egyik leggyakoribb halálok a csecsemők és kisgyerekek körében” – mondta Seth Berkley, a Globális Oltóanyag és Oltási Szövetség (GAVI) vezetője. A tüdőgyulladás (pneumonia) a tüdő és a légzőrendszer betegsége, amelyet baktérium, vírus vagy gomba okozhat. A beteg levegőért küzd, miközben tüdejét genny és folyadék tölti meg. Megelőzhető oltással, kezelhető antibiotikumokkal, súlyos esetben oxigénnel, ezek azonban a szegényebb országokban korlátozottan állnak rendelkezésre.
Az elmúlt évben a tüdőgyulladásnak áldozatul esett gyerekek több mint fele Nigériában, Indiában, Pakisztánban, a Kongói Demokratikus Köztársaságban és Etiópiában halt meg, többségük két év alatti volt. „Több millió gyerek hal meg oltóanyag, antibiotikum és rutinszerű oxigénkezelés hiánya miatt. Ez egy elfeledett globális járvány, amely sürgős nemzetközi cselekvést tesz szükségessé” – mondta Kevin Watkins, a Save the Children elnöke.
A jelentés szerint a tüdőgyulladás az öt év alattiak 15 százalékánál végződik halállal, mégis a fertőző betegségek kutatására fordított támogatások csupán 3 százaléka kerül ehhez a területhez, jóval kevesebb, mint amennyi más kór, például a malária kutatására jut.
Forrás: MTI.hu
Fotó: wiki


